Khi mang thai, máu mẹ bầu có chứa hỗn hợp DNA tự do (cfDNA). Các cfDNA này đến từ tế bào của mẹ và tế bào từ nhau thai. (Nhau thai là mô trong tử cung liên kết với thai nhi và nguồn cung cấp máu mẹ. Những tế bào này được đổ vào dòng máu mẹ trong suốt thai kỳ. DNA trong các tế bào nhau thai thường giống hệt với DNA của thai nhi.)

Xét nghiệm NIPT phân tích các đoạn DNA nhỏ này để tìm kiếm các rối loạn nhiễm sắc thể. Gây ra bởi sự thừa hoặc thiếu (aneuploidy) một bản sao của nhiễm sắc thể.
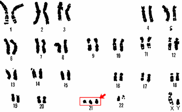
NIPT chủ yếu tìm kiếm hội chứng Down (trisomy 21, gây ra bởi một thêm nhiễm sắc thể 21), trisomy 18 (gây ra bởi thêm một nhiễm sắc thể 18), trisomy 13 (gây ra bởi thêm một nhiễm sắc thể 13) và các thay đổi của nhiễm sắc thể giới tính. Độ chính xác của xét nghiệm thay đổi tùy theo rối loạn.

NIPT được coi là không xâm lấn vì nó chỉ cần lấy máu từ người phụ nữ mang thai và không gây nguy hiểm cho thai nhi. NIPT là một xét nghiệm sàng lọc, có nghĩa là NIPT sẽ không đưa ra câu trả lời khẳng định về việc thai nhi có bị bệnh di truyền hay không. Trong một số trường hợp, kết quả NIPT cho thấy tăng nguy cơ bất thường di truyền khi thai nhi thực sự không bị ảnh hưởng (dương tính giả) hoặc kết quả cho thấy giảm nguy cơ bất thường di truyền khi thai nhi thực sự bị ảnh hưởng (âm tính giả). Vì NIPT phân tích cả cfDNA của thai nhi và mẹ, nên xét nghiệm có thể phát hiện ra tình trạng di truyền ở người mẹ.
Hiện nay tại GENTIS, xét nghiệm sàng lọc trước sinh (GenEva - NIPT) kết hợp giải trình tự thế hệ mới và phần mềm phân tích độc quyền có khả năng phát hiện ra bất thường của thai nhi ngay cả trong trường hợp lượng DNA tự do của thai nhi trong máu người mẹ ở mức thấp (>1,4%). Điều này dẫn đến tỷ lệ thất bại kỹ thuật thấp nhất (0.1%) và loại bỏ thử nghiệm xâm lấn không cần thiết như các xét nghiệm khác.
Đảm bảo các yếu tố quyết định chất lượng xét nghiệm bao gồm:
- Công nghệ: Hệ thống giải trình tự gen thế hệ mới NextSeq 550 của Illumina - Mỹ.
- Chuyên gia: Chuyên gia tư vấn di truyền là PGS.TS di truyền sản khoa uy tín, đồng hành với bệnh nhân trong suốt thai kỳ.
- Trung tâm xét nghiệm: Thực hiện tại phòng xét nghiệm đạt chuẩn quốc tế tại Việt Nam. Chất lượng được giám sát chặt chẽ, đảm bảo tương đương phòng xét nghiệm tại Mỹ. Hạn chế được nhiều rủi ro sai sót khi gửi mẫu ra nước ngoài, có kết quả nhanh chóng…
- Tiêu chuẩn quốc tế: Tại GENTIS được văn phòng công nhật chất lượng - BOA việt nam chứng nhận phù hợp với tiêu chuẩn ISO 15189:2012. (http://www.boa.gov.vn/vi/phong-xet-nghiem-quoc-te-gentis). Theo quyết định số 3148/QĐ-BYTT, Điều kiện để các Phòng xét nghiệm (PXN) được liên thông công nhận kết quả là các PXN phải được đánh giá theo bộ “Tiêu chí đánh giá mức chất lượng phòng xét nghiệm Y học” và đạt chất lượng từ mức 01 trở lên hoặc các PXN đạt chứng nhận ISO 15189:2012.
- Xét nghiệm có độ chính xác: >99%
- Thời gian trả kết quả nhanh chóng: chỉ từ 7 ngày.
- Hỗ trợ bảo hiểm lên tới: 300 triệu đồng.
- Sàng lọc được nhiều hội chứng di truyền thường gặp và bất thường số lượng tất cả các nhiễm sắc thể còn lại.
GenEVA - “chìa khóa” để giải mã dị tật thai nhi từ lúc tuổi thai còn rất nhỏ.