1. Đa dị tật bẩm sinh là gì?
Đa dị tật bẩm sinh hay đa dị tật thai nhi là sự kết hợp của 2 hay nhiều dị tật bẩm sinh trên cùng 1 cá thể. Tình trạng này có thể nhìn thấy bằng mắt thường hoặc nằm sâu bên trong cơ thể, có thể phát hiện ngay sau sinh hoặc phải mất nhiều thời gian mới xuất hiện những dấu hiệu rõ ràng.
Đa dị tật bẩm sinh sẽ gắn liền với cuộc sống của bé, đe dọa đến tính mạng, sức khỏe và khả năng nhận thức. Từ đó, bé không thể vui chơi, học tập và phát triển bình thường như những bạn đồng trang lứa, dẫn đến tự ti, mặc cảm.
2. Các dị tật bẩm sinh thường gặp
Đa dị tật bẩm sinh có thể là sự kết hợp của 2 hay nhiều loại dị tật thường gặp dưới đây:
2.1. Dị tật ống thần kinh
Ống thần kinh của thai nhi xuất hiện vào khoảng cuối tháng đầu tiên thai kỳ. Dị tật ống thần kinh phổ biến nhất là khuyết tật tủy sống và thiếu não:
- Khuyết tật tủy sống: Nếu ống thần kinh không đóng hết, xương bảo vệ tủy sống sẽ không hình thành và đóng lại như bình thường. Điều này dẫn đến tổn thương tủy sống và dây thần kinh. Đây là nguyên nhân khiến trẻ mất chức năng hoạt động ở hai chân, mất kiểm soát ruột và bàng quang.
- Thiếu não: Khi phần trên của ống thần kinh không đóng hết, chứng thiếu não xảy ra, khiến đứa bé sau sinh sẽ thiếu các bộ phận chính của não, hộp sọ và da đầu. Thông thường, những bé này thường chỉ sống được vài giờ sau sinh.

Dị tật ống thần kinh vô cùng nguy hiểm, có thể đe dọa tính mạng bé.
2.2. Hội chứng Down
Hội chứng Down bắt nguồn từ sự phân chia bất thường của tế bào liên quan đến nhiễm sắc thể số 21. Bất kỳ một trong ba biến thể di truyền nào dưới đây cũng có thể gây ra hội chứng Down:
- Thể tam nhiễm 21: Tỷ lệ trẻ bị hội chứng Down do nguyên nhân này chiếm khoảng 95%. Đây là trường hợp trẻ có 3 nhiễm sắc thể 21 thay vì có 2 nhiễm sắc thể như thông thường. Điều này thường xảy ra trong quá trình phát triển của tế bào tinh trùng hoặc tế bào trứng.
- Hội chứng Down thể khảm: Đây là trường hợp hiếm gặp khi một vài tế bào có thêm bản sao nhiễm sắc thể số 21. Hội chứng Down thể khảm thường xuất hiện sau thụ tinh.
- Hội chứng Down thể chuyển đoạn: Nguyên nhân là do nhiễm sắc thể 21 dính vào một nhiễm sắc thể khác trước hoặc sau thụ tinh.

Trẻ bị Down có ngoại hình khác những đứa trẻ bình thường.
Những đứa trẻ bị hội chứng Down thường gặp các vấn đề liên quan đến trí tuệ, nhận thức. Một vài trường hợp mắc đa dị tật bẩm sinh sẽ đi kèm với các vấn đề đề tim.
Phụ nữ trên 30 tuổi có nguy cơ sinh ra trẻ bị hội chứng Down khoảng 1:1000, ở phụ nữ trên 35 tuổi là 1:400, phụ nữ trên 42 tuổi là 1:60.
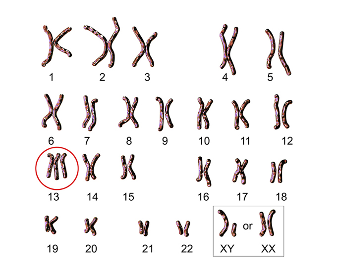
2.3. Hội chứng Patau
Hội chứng Patau ít phổ biến nhất trong số các thể tam nhiễm như hội chứng Down (thể tam nhiễm 21) và hội chứng Edwards (thể tam nhiễm 18) nhưng lại nghiêm trọng nhất. Khi mắc hội chứng Patau, đứa trẻ có bản sao thừa của nhiễm sắc thể số 13 gây ra các khuyết tật nghiêm trọng về tim và thần kinh khiến trẻ sơ sinh khó sống sót.

Hội chứng Patau xảy ra khi trẻ có 3 nhiễm sắc thể số 13.
Một số ít trường hợp trẻ mắc dị tật này có thể sống đến tuổi trưởng thành nhưng lại gặp nhiều vấn đề liên quan đến sức khỏe và não bộ kém phát triển.
Tỷ lệ mắc loại dị tật bẩm sinh này chiếm 1:10.000 – 1:20.000, tuy nhiên con số này chưa thực sự chính xác do thai nhi thường mất trước khi sinh.
2.4. Hội chứng Klinefelter
Hội chứng Klinefelter xảy ra ở các bé nam, khi có 1 cặp nhiễm sắc thể X (XXY) thay vì chỉ có 1 nhiễm sắc thể X (XY) như bình thường. Đây là một dị tật bẩm sinh thường không được chẩn đoán cho đến khi trưởng thành.

Hội chứng Klinefelter xảy ra khi bé nam có nhiễm sắc thể XXY.
Hội chứng Klinefelter có nguy cơ ảnh hưởng xấu đến sự phát triển của tinh hoàn khiến tinh hoàn nhỏ hơn bình thường. Ngoài ra, dị tật có thể làm giảm sản xuất testosterone, giảm khối lượng cơ, giảm lông trên cơ thể và khuôn mặt, mô vú phì đại. Các tác động của hội chứng Klinefelter trên mỗi cá thể là khác nhau.
Tỷ lệ các bé nam mắc phải dị tật này là khoảng 1:500 - 1:1000 trẻ trên tổng số khoảng 3000 trẻ sinh ra mỗi năm (Hoa Kỳ).
2.5. Hội chứng Edwards
Hội chứng Edwards là dị tật bẩm sinh thể tam nhiễm phổ biến thứ hai sau hội chứng Down. Những thai nhi này thường thừa 1 nhiễm sắc thể số 18 dẫn đến chậm phát triển và có những bất thường về não bộ, tim, thận, các chi.
Hơn một nửa trẻ mắc hội chứng Edwards mất trong tuần đầu tiên và chỉ khoảng 5 - 10% trẻ có thể sống hơn 1 năm tuổi. Tuy nhiên, những số liệu thống kê trên chưa thực sự chính xác do thai nhi thường mất trước khi sinh.

Hội chứng Edwards liên quan đến những bất thường ở nhiễm sắc thể số 18.
2.6. Hội chứng Jacobs
Hội chứng Jacobs hay còn gọi là hội chứng Siêu Nam, xảy ra khi bé nam có 2 nhiễm sắc thể Y (XYY).
Những bé nam mắc hội chứng này thường chậm phát triển trí tuệ, khó biểu đạt ngôn ngữ và cảm xúc, sức khỏe kém làm hạn chế khả năng vận động, tay bị run. Một số dấu hiệu khác có thể nhìn thấy bằng mắt thường là: ngón tay út cong, bàn chân phẳng, đầu phát triển lớn, răng to, cột sống vẹo…

Hội chứng Jacobs xảy ra ở bé nam khi có 2 nhiễm sắc thể Y (XYY).
Tìm hiểu thêm tại đây về thời điểm xuất hiện dị tật thai nhi và các giai đoạn phát hiện dị tật quan trọng trong thai kỳ.
3. 6 nguyên nhân gây ra đa dị tật bẩm sinh ở thai nhi
Thai nhi mắc đa dị tật có thể do 1 nguyên nhân hoặc sự kết hợp nhiều nguyên nhân dưới đây:
3.1. Mang thai khi cha mẹ đã tuổi đã cao
Người mẹ mang thai trên 35 tuổi và người cha trên 50 tuổi có nguy cơ cao sinh con mắc dị tật bẩm sinh. Nguyên nhân là do càng lớn tuổi thì chất lượng tinh trùng càng suy giảm, khả năng nhiễm sắc thể ở trứng dính vào nhau tăng cao.
Tỷ lệ phụ nữ trên 35 tuổi sinh con bị dị tật chiếm 1:400, khoảng 40 tuổi trở lên là 1:100, khoảng 45 tuổi trở lên là 1:30.
Bên cạnh nguy cơ mắc đa dị tật bẩm sinh cao, nhiều nghiên cứu cho thấy khi người cha trên 40 tuổi những bé được sinh ra có nguy cơ mắc chứng tự kỷ, suy yếu não, trí tuệ kém phát triển... lớn hơn gấp 6 lần so với những người cha sinh con trong độ tuổi 30.

Cha mẹ càng cao tuổi sinh con có nguy cơ mắc đa dị tật càng cao.
3.2. Thai mắc dị tật do yếu tố di truyền từ cha mẹ
Cha mẹ hoặc người thân trong gia đình mang gen bệnh di truyền có biểu hiện hoặc không có biểu hiện đều có khả năng truyền gen bệnh cho con gây đa dị tật bẩm sinh.
Cha mẹ có cùng huyết thống cũng là nguyên nhân gây ra những biến đổi bất thường, tăng tỷ lệ trẻ sinh ra mắc các dị tật nguy hiểm hiếm gặp, tử vong, khuyết tật trí tuệ…
3.3. Mẹ mắc bệnh truyền nhiễm trước hoặc trong khi mang thai
Người mẹ mắc các bệnh truyền nhiễm cấp tính trước hoặc trong khi mang thai như cúm, rubella, viêm gan siêu virus… là nguyên nhân làm giảm chất lượng trứng, tinh trùng và phôi thai. Điều này làm tăng nguy cơ mắc nhiều dị tật bẩm sinh ở thai nhi.

Mẹ mắc bệnh truyền nhiễm khi mang thai ảnh hưởng xấu đến sự phát triển của thai nhi.
3.4. Mẹ tiếp xúc với các chất phóng xạ, hóa chất
Mẹ tiếp xúc với chất phóng xạ, các chất hóa học như: thuốc trừ sâu, chất tẩy rửa…, dùng chất kích thích như rượu, bia, thuốc lá… không chỉ ảnh hưởng xấu đến sức khỏe của mẹ mà còn làm tăng nguy cơ thai nhi mắc bị đa dị tật thai nhi.
Sau khi được hấp thụ trong cơ thể mẹ, các chất độc hại qua máu và vào thai nhi. Chúng có thể phá vỡ hoặc biến dạng các cấu trúc, chức năng tại những cơ quan chưa được hoàn thiện của bé. Đây cũng là nguyên nhân dẫn đến sảy thai, thai lưu, sinh non, khiến trẻ bị một hoặc nhiều dị tật…

Phụ nữ đang mang thai không nên uống rượu để tránh ảnh hưởng xấu đến con.
3.5. Uống thuốc không có chỉ định của bác sĩ
Phụ nữ đang mang thai tự ý dùng thuốc có thể mắc các tác dụng phụ ảnh hưởng trực tiếp đến sức khỏe và sự phát triển của con, nguy hiểm nhất là trong 3 tháng đầu thai kỳ.
Theo ghi chép, thuốc Thalidomide (thuốc chống buồn nôn) được kê đơn vào những năm 1960 đã gây ra dị tật bẩm sinh Phocomelia. Những đứa trẻ bị mắc dị tật này thường cụt tay chân, khiếm thị, khiếm thính, biến dạng xương khớp, cột sống. Hiện nay, thuốc Thalidomide đã bị thu hồi.
Ngoài ra, thuốc trị bệnh ngoài da Isotretinoin - một dạng của vitamin A được chứng minh là nguyên nhân dẫn đến hội chứng Retinol ở thai nhi. Những đứa trẻ mắc hội chứng này thường chậm phát triển, dị tật hộp sọ và khuôn mặt, có những bất thường ở hệ thần kinh trung ương, tim mạch, thận, tuyến giáp…
Do đó, phụ nữ trước, trong và sau khi mang thai nên đi khám và tuân thủ đúng hướng dẫn sử dụng thuốc theo đơn của bác sĩ để tránh tối đa nguy cơ thai nhi mắc đa dị tật.

Phụ nữ mang thai uống thuốc theo đúng chỉ dẫn của bác sĩ để tránh tác dụng phụ nguy hiểm gây dị tật thai nhi.
3.6. Một số nguyên nhân khác gây nên đa dị tật bẩm sinh
Dưới đây là một số nguyên nhân khác gây nên dị tật bẩm sinh ở thai nhi:
- Mẹ stress, căng thẳng trong khi mang thai: Nhiều nghiên cứu cho thấy, mẹ căng thẳng, mệt mỏi sản sinh nhiều hormone từ tuyến thượng thận, cản trở vai trò hòa hợp lớp tế bào phôi mô của thai nhi. Nếu điều này xảy ra nhiều trong 3 tháng đầu thai kỳ, trẻ sinh ra có thể bị dị tật như hở hàm ếch, sứt môi…
- Chế độ dinh dưỡng thiếu khoa học: Mẹ không cung cấp đủ acid folic làm tăng nguy cơ sinh con bị dị tật ống thần kinh. Ngoài ra, nếu mẹ bổ sung quá nhiều vitamin A, đặc biệt trong 3 tháng đầu thai kỳ, có thể ảnh hưởng đến sự phát triển bình thường của phôi thai hoặc thai nhi.
- Chụp X- quang khi mang thai: Tia X có khả năng tác động vào thai nhi, làm tăng nguy cơ bị dị tật bẩm sinh. Do đó, phụ nữ mang thai nên tránh xa khu vực chụp X - quang.

Mẹ căng thẳng, mệt mỏi khi mang thai tác động xấu đến sự phát triển của con.
4. Thai nhi bị chẩn đoán đa dị tật bẩm sinh phải làm sao?
Đầu tiên, mẹ cần bình tĩnh xem mình đang thực hiện loại xét nghiệm nào, tỷ lệ chính xác là bao nhiêu vì có thể có sai lệch trong lần đầu tiên xét nghiệm.
Sau đó, mẹ lựa chọn phương pháp xét nghiệm theo chỉ định của bác sĩ để nhận được kết quả chính xác nhất. Nếu kết quả là thai nhi bị đa dị tật, mẹ nghe các tư vấn từ chuyên gia để đưa ra quyết định phù hợp.
Trong quá trình mang thai, mẹ cần lưu ý những vấn đề sau:
- Chế độ ăn uống khoa học: Mẹ bổ sung đủ chất dinh dưỡng, đặc biệt là acid folic để hạn chế các dị tật bẩm sinh ở thai nhi, điển hình là dị tật ống thần kinh.
- Tránh tiếp xúc với các hóa chất độc hại, chất kích thích: Mẹ hạn chế đến những khu vực bị ô nhiễm, không làm việc ở hầm mỏ, không hút thuốc lá, uống rượu bia…
- Giữ tinh thần thoải mái: Mẹ có thể nghe nhạc, đọc sách, tập yoga theo hướng dẫn của chuyên gia… để tinh thần luôn thoải mái.

Nghe nhạc không chỉ giúp mẹ bầu thư giãn mà còn có tác động tích cực đến nhận thức của thai nhi.
5. GENTIS - Địa chỉ xét nghiệm sàng lọc dị tật trước sinh hàng đầu Việt Nam
Khám sàng lọc dị tật trước sinh là bước quan trọng để phát hiện và ngăn ngừa những nguy cơ dẫn đến đa dị tật bẩm sinh ở thai nhi. Các xét nghiệm phải được thực hiện ở cơ sở uy tín với đội ngũ bác sĩ có chuyên môn cao để nhận được kết quả chính xác nhất.
Hiện nay, GENTIS là địa chỉ xét nghiệm sàng lọc dị tật trước sinh hàng đầu, đơn vị đầu tiên tại Việt Nam được nhận chứng nhận từ Illumina - Tổ chức giải mã gen lớn nhất thế giới.

Trung tâm Xét nghiệm Di truyền Quốc tế GENTIS.
GENTIS áp dụng phương pháp hiện đại không xâm lấn NIPT đưa ra chẩn đoán nhiều loại dị tật hơn so với các cách làm truyền thống khác. Nhờ đó, kết quả xét nghiệm đa dị tật bẩm sinh chính xác hơn.
Ngoài ra, GENTIS mang đến nhiều ưu điểm vượt trội khác bao gồm:
- Cơ sở vật chất tại phòng xét nghiệm đạt tiêu chuẩn quốc tế phù hợp với tiêu chuẩn ISO 15189:2012, tương đương với các phòng xét nghiệm tại Mỹ, mang lại kết quả chính xác, nhanh chóng, hạn chế rủi ro như khi gửi mẫu ra nước ngoài.
- Đội ngũ chuyên gia lâu năm trong lĩnh vực phân tích di truyền. Tất cả kết quả xét nghiệm tại GENTIS đều có sự kiểm duyệt về chuyên môn từ chuyên gia đầu ngành như các phó viện trưởng, trưởng khoa bệnh viện trung ương và nhiều đơn vị khám chữa bệnh lớn trong nước.
- Độ chính xác cao >99%, đặc biệt là với hội chứng Down nhờ công nghệ NIPT Illumina GenEva - thực hiện trên công nghệ Illumina - Mỹ.
- Xét nghiệm được thực hiện an toàn, không xâm lấn: Nếu như các phương pháp khác như chọc ối gây nhiều ảnh hưởng xấu cho mẹ bầu và thai nhi thì với phương pháp NIPT, bác sĩ chỉ lấy 10ml máu tĩnh mạch của mẹ, không đau, không ảnh hưởng đến sức khỏe thai nhi.
- Hỗ trợ thu mẫu tận nơi: Các bậc phụ huynh có nhu cầu sàng lọc trước sinh có thể trực tiếp xét nghiệm tại GENTIS hoặc gọi 0988.00.2010 để GENTIS hỗ trợ lấy mẫu tận nơi. Hiện nay, GENTIS có hơn 40 điểm thu mẫu, thực hiện thu mẫu tại các tỉnh thành trên khắp cả nước.
Trên đây là những giải đáp về đa dị tật thai nhi là gì và nhưng điều mẹ nên làm để phát hiện sớm tình trạng này. Vui lòng trực tiếp đến GENTIS hoặc liên hệ hotline 0988.00.2010 để được tư vấn miễn phí nếu quý khách có nhu cầu sử dụng dịch vụ sàng lọc trước sinh NIPT và các dịch vụ khác của GENTIS.